Skip to navigation Skip to content Skip to footer
Visit VCU Health website VCU Health VCU SOM Make a Gift Faculty & Staff Patients & Visitors
Information for ...
Cardiology Endocrinology, Diabetes & Metabolism Gastroenterology, Hepatology & Nutrition General Internal Medicine Geriatric Medicine Hematology, Oncology and Palliative Care Hospital Medicine Infectious Diseases Nephrology Pulmonary Disease and Critical Care Rheumatology, Allergy and Immunology
Department of Internal Medicine
Visit VCU Health website MyVCU VCU SOM Make a Gift Faculty & Staff Patients & Visitors
Information for ...
Cardiology Endocrinology, Diabetes & Metabolism Gastroenterology, Hepatology & Nutrition General Internal Medicine Geriatric Medicine Hematology, Oncology and Palliative Care Hospital Medicine Infectious Diseases Nephrology Pulmonary Disease and Critical Care Rheumatology, Allergy and Immunology
About
About

Welcome to the Virginia Commonwealth University Department of Internal Medicine. We are located on the MCV Campus in downtown Richmond.

Welcome from the Chair History Teaching Locations Faculty Expertise Directory
Our Team Mission Institutes & Centers Giving
Education
Education

The VCU Department of Internal Medicine provides educational opportunities through our fellowship and residency programs.

Residency Fellowships M3 Clerkship Acting Internship Medical Grand Rounds Verification of Training
Research
Research

The Department of Internal Medicine at the VCU Medical Center is committed to advancing medicine through research. We are proud to have accomplished research faculty and state of the art facilities.

Research By Specialization Research Laboratories Research Services Office
Divisions
Divisions

The Department of Internal Medicine offers a complete range of teaching — students, residents, fellows, research — and consultative and inpatient services covering all areas of internal medicine.

Cardiology Endocrinology, Diabetes and Metabolism Gastroenterology, Hepatology and Nutrition General Internal Medicine Geriatric Medicine Hematology, Oncology and Palliative Care
Hospital Medicine Infectious Diseases Nephrology Pulmonary Disease and Critical Care Medicine Rheumatology, Allergy and Immunology
Alumni
Alumni

Welcome Department of Internal Medicine Alumni

Giving
News
News

Here you will find information about the latest occurrences at the Virginia Commonwealth University Department of Internal Medicine, as well as activities for students and faculty.

News Features Events Newsletter
Close

Filters:

VCU Site search filters

Internal Medicine

Research Laboratories

More in this section

  • Research Laboratories
    • Sime Lab
    • TLCaRG
    • Winn Lab
      • About Dr. Winn
    • Freeberg Lab
  • Research By Specialization
  • Research Services Office
Sime Laboratory

Sime Laboratory

Welcome to the Sime Laboratory. We invite you to learn more about us from this web site and please feel free to contact us anytime. We would be pleased to hear from you.

 

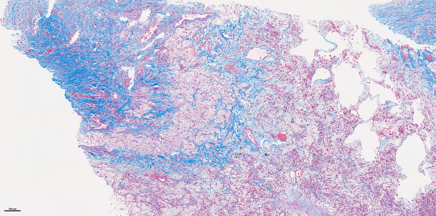
Our laboratory focuses on identifying pathogenetic mechanisms underlying lung disease so that we can speed the identification and development of new and exciting therapeutics. Diseases we study include lung scarring (fibrosis) and smoke and other toxicant induced lung inflammatory diseases such as chronic bronchitis and emphysema (COPD).

Translational Lung Cancer Research Group (TLCaRG)

Translational Lung Cancer Research Group (TLCaRG)

Welcome to the Translational Lung Cancer Research Group (TLCaRG). Please feel to contact us for any info about our members and the research we conduct. We would be pleased to hear from you.

 

The TLCaRG focuses its research on discovering new strategies for lung cancer detection and the development of RNA based therapeutics. Our research also investigates the role of immunotherapy as an approach for treating lung cancer. Additional areas of investigation include the role of the microbiome in lung cancer pathogenesis and the development of clinically informative biomarkers in the diagnosis and management of malignant pleural disease, lung cancer associated cachexia and COPD.

 

Sickle Cell Disease Research Program

Sickle Cell Disease Research Program

Over the course of three decades, the Sickle Cell Disease (SCD) Program at Virginia Commonwealth University (VCU) under the direction of Wally R Smith, MD, Florence Neal Cooper Smith Professor of SCD, has helped lead the national charge for a cure for SCD.  By all measures, VCU has become a top 10 Comprehensive Sickle Cell Center in America, caring for nearly 900 children and adults statewide. Further, VCU has helped usher in the dramatic change of SCD from a disease causing death in childhood to one where two-thirds of patients are now adults. (Link coming soon)

Winn Lab

Winn Lab

The Winn Lab goals are to understand the molecular basis of signaling pathways and mechanisms by which oncogenes and tumor suppressors regulate tumor initiation and tumor progression in animal and human models of lung cancer. The studies, using cutting edge techniques, are translational in nature to garner information in hopes to identify novel lung cancer biomarkers to develop new therapeutic treatments. In addition to the basic science, the lab is also interested in racial disparities surrounding lung cancer by defining the genetic, proteomic, and metabolomic differences among various racial/ethnic groups with differing survival outcomes related to lung cancer.

Stravitz-Sanyal Institute for Liver Disease and Metabolic Health

Stravitz-Sanyal Institute for Liver Disease and Metabolic Health

The Stravitz-Sanyal Institute for Liver Disease and Metabolic Health (SSI) at Virginia Commonwealth University is a premier center dedicated to advancing research, clinical care, and education in liver disease and metabolic disorders. Bringing together world-class scientists and clinicians, SSI drives fully translational research, from basic scientific discovery to clinical implementation, to improve outcomes for patients with acute and chronic liver diseases. Through innovative science, collaborative partnerships, and a commitment to excellence, SSI serves as a national leader in hepatology and metabolic health.

Freeberg Research Laboratory

Freeberg Research Laboratory

Welcome to the Freeberg Research Laboratory.  Our research leverages concepts from mechanobiology, tissue engineering, and cellular metabolic reprogramming to identify novel therapeutic targets.

 

In the Freeberg Research Lab, we study lung fibrosis (scarring), which is a devastating disease with limited therapeutic options. Understanding disease pathogenesis is critical to identifying novel drug targets. Our lab investigates how cells in the lung sense and respond to their mechanical/physical environment and how these machanosensation processes alter cellular metabolism. Our work seeks to understand how mechanotransduction interfaces with cellular metabolic reprogramming in fibrosis.

Virginia Commonwealth University School of Medicine

Department of Internal Medicine
1101 E. Marshall St.
Sanger Hall Suite 1-030
Richmond, VA 23298

Internal Medicine

Internal Medicine

  • About
  • Education
  • Research
  • Divisions
  • Alumni
  • News

Other Links

  • VCUHealth
  • VCUSOM
  • Giving
  • Faculty & Staff
  • Patients & Visitors

Social Media

Virginia Commonwealth University is a nationally renowned public research institution dedicated to the success and well-being of all members of its community. VCU student, faculty and staff groups and associations are open without regard to any characteristic or identity protected by law.

Privacy | Accessibility | Webmaster

Last Updated: 03/16/2026 Edit

Close